Mamografie Gratuita Regina Maria

Examen clinic al sanilor anual.
Mamografie gratuita regina maria. Ana maria craioveanu este medic primar radiologie şi imagistica medicala cu competenta in ecografie generala. Radiografia este in continuare cea mai frecvent folosita metoda imagistica radiologica. Autoexaminare lunara a sanilor. Mamografie bilaterala anual completata de ecografie mamara daca este necesar dupa 50 ani.
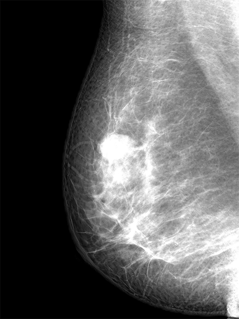
Oana moise medic primar radiologie si imagistica. Aceasta metoda poate evidentia prezenta unor microcalcificari la nivelul sanului putand repera tumorile mamare cu ani de zile inainte de aparitia simptomelor. Daca ai peste 40 de ani nu ai făcut niciodată sau în ultimii doi ani o mamografie ai venitul sub 1600 ron luna vino cu recomandare de la medic sau te ajutăm noi si beneficiezi de mamografie gratuita si interpretare la clinica sala palatului. Mamografia reprezinta o serie de radiografii care prezinta imagini ale tesuturilor moi ale sanului.
Mamografie bilaterala anual completata de ecografie mamara daca este necesar dr. Mamografia este o investigatie care foloseste raze x pentru a evalua sanatatea sanilor si joaca un rol cheie in depistarea precoce a cancerului de san si reducerea numarului de decese provocate de aceasta afectiune. Este o procedura de screening valoroasa care poate detecta cancerul de san intr un stadiu incipient chiar cu doi ani inainte ca un nodul sa poata fi palpat. Este o examinare sigura atunci cand este efectuata de catre radiologi si tehnicieni special pregatiti sa minimizeze expunerea la radiatii este frecvent folosita in cazul fracturilor dar si pentru a examina toracele abdomenul si tesuturile moi superficiale.
Din fericire o mamografie realizată la un spital de stat este gratis. Mamografie digitala avantaje o examinare cu mamograful digital nu dureaza mai mult de 20 de minute. Cel mai inalt nivel de expertiza din reteaua regina maria in investigatii imagistice moderne rmn ct mamografie digitala osteodensitometrie si radiologie digitala. Pentru programari suna la 0731 345 129 locuri limitate.
Acest lucru reduce mult mortalitatea si pemite prin mijloace terapeutice optime vindecarea bolii dr. Spre deosebire de mamograful analog in care imaginile sunt printate pe film mamograful digital permite radiologului sa capteze si sa manipuleze imaginile astfel incat anomaliile sa fie vizualizate cat mai bine. Totusi controlul regulat cu ajutorul mamografiei este cea mai buna metoda de a descoperi cancerul de san inainte sa apara semne sau simptome evidente. Cancerul mamar reprezinta principala cauza de deces la femeile peste 40 de ani.
Plata în rate celule stem rezonanta magnetica osteodensitometrie radiologie digitala tomografie computerizata parcare pediatrie imagistic.