Obturatie Canal Cu Depasire

Home forum dental tratamente de canal obturatie de canal cu depasire mare.
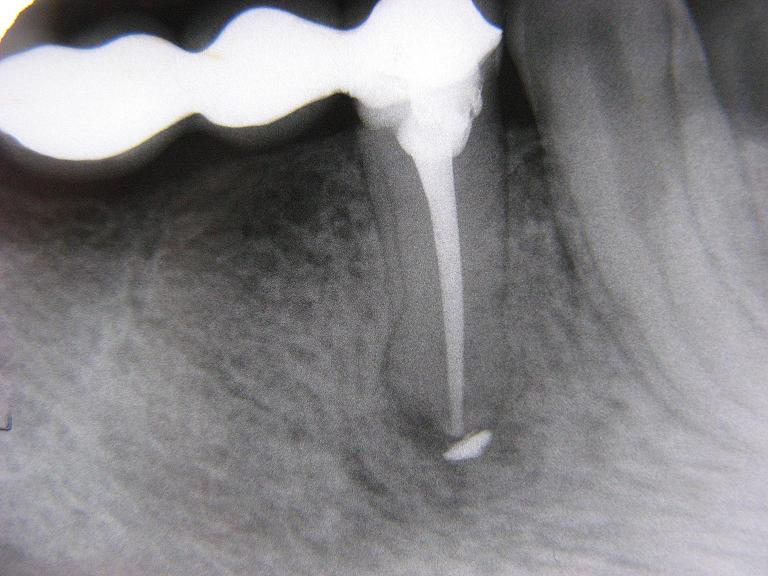
Obturatie canal cu depasire. Pentru a depasi cu succes aceste momente dureroase in aceasta perioada este indicat sa urmati un tratament cu antiinflamatorii pe cale generala. Depasirea cu material de obturatie de canal este vizibila si radiologic deci ar fi indicat sa faceti o radiografie pentru a fi siguri ca aceasta este cauza durerilor dumneavoastra. Nu dorim niciunui pacient să necesite o obturatie de canal din acest motiv accentuăm importanța profilaxiei și a unei igiene dentare sănătoase. Vizualizare 15 articole 1 la 15 din 29 în total 1 2.
Acest subiect are 28 de răspunsuri 5 voci și a fost actualizat ultima dată acum 2 ani 2 luni de dr. Salvarea de la extracția dentară. Obturatie de canal reprezinta un tratament stomatologic menit sa repare si sa salveze de la extractie un dinte infectat sau care prezinta carii dentare profunde in cadrul caruia pulpa dintelui compusa din vase de sange si nervi este extrasa. In cazul in care se intampla acest lucru obturatie de canal cu depasire cu pasta la nivel local apare o reactie inflamatorie trecatoare care se traduce prin dureri la nivelul dintelui in momentul atingerii acestuia.
în contextul intervențiilor stomatologice obturația de canal este ultima soluție sau variantă la care un medic dentist poate apela pentru a salva un dinte de la extracție.